betspot.zone logo
Historia de
@AiltonAssis - Mato Grosso, Brasil

El 5 de enero es el Día de la Abreugrafía

El 5 de enero es el Día de la Abreugrafía

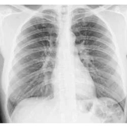
El 5 de enero es el Día de la Abreugrafía en Brasil y rinde homenaje a la técnica de abreugrafía, una prueba de imagen utilizada para detectar enfermedades pulmonares, como la tuberculosis. Esta fecha es importante para resaltar los avances en la medicina y las prácticas de prevención de la salud, especialmente en la detección temprana de enfermedades respiratorias.
La abreugrafía fue desarrollada por el médico brasileño Ely Correa Abreu, quien a principios del siglo XX creó un método más accesible y sencillo de realizar radiografías de tórax, facilitando la detección de enfermedades como la tuberculosis. La prueba se ha convertido en una herramienta importante para las campañas de salud pública, especialmente en la lucha contra la tuberculosis en Brasil.
¿Sabías??


publicity




A quien le gustó El 5 de enero es el Día de la Abreugrafía, también le gustó explorar Fechas Conmemorativas

Explorar mas sobre El 4 de febrero es el Día del Orgullo Zombie, en honor a la popularidad de los zombies en ..

El 4 de febrero es el Día del Orgullo Zombie, en honor a la popularidad de los zombies en la cultura pop y su influencia en películas, series, libros y juegos. La fecha es una oportunidad para que los fanáticos de este ícono del terror celebren su pasión por las historias que mezclan suspenso, fantasía y una dosis de crítica social.
El origen de la fecha
El día fue elegido ..saber más

publicity



A quien le gustó El 5 de enero es el Día de la Abreugrafía, también le gustó explorar Deportes

Explorar mas sobre El yoga, práctica originada en la antigua India, ha ido ganando cada vez más seguidores en..

El yoga, práctica originada en la antigua India, ha ido ganando cada vez más seguidores en todo el mundo, siendo reconocido no solo como ejercicio físico, sino también como una filosofía de vida completa. Con raíces en los Vedas y Upanishads y estructurado en los Yoga Sutras, el término “yoga” significa unión, reflejando la integración del cuerpo, la mente y el espíritu. El principal objetivo de la ..saber más



Los compuestos complejos de me... Académico

Explorar mas sobre Los compuestos complejos de metales de transición han estado llamando la atención en el ca..

Los compuestos complejos de metales de transición han estado llamando la atención en el campo de la química debido a sus variadas estructuras y a sus colores intensos. Estos materiales se forman cuando un metal de transición se une a diferentes moléculas o iones llamados ligandos, creando arreglos geométricos como formas octaédricas, tetraédricas o cuadrado-planas. Cada tipo de geometría influye directamente ..saber más



La Tierra está compuesta por v... Académico

Explorar mas sobre La Tierra está compuesta por varias capas que se diferencian por su composición, temperatu..

La Tierra está compuesta por varias capas que se diferencian por su composición, temperatura y propiedades físicas. En el núcleo, ubicado en el centro del planeta, encontramos dos partes: el núcleo interno, sólido y formado principalmente por hierro y níquel, y el núcleo externo, líquido, responsable de la generación del campo magnético terrestre. Por encima del núcleo se encuentra el manto, una capa ..saber más



El yoga se ha destacado no sol... Deportes

Explorar mas sobre El yoga se ha destacado no solo como una práctica física, sino como un estilo de vida comp..

El yoga se ha destacado no solo como una práctica física, sino como un estilo de vida completo que integra alimentación consciente, buen descanso y hábitos saludables. Más que ejercicio, sus técnicas fomentan la atención plena, el autocuidado y el equilibrio emocional, promoviendo el bienestar integral en la vida moderna. La práctica puede adaptarse a diferentes públicos, incluidos niños, adultos mayores, ..saber más



La tan esperada 5.ª temporada ... Stranger Things

Explorar mas sobre La tan esperada 5.ª temporada de Stranger Things, que marcará el final de la serie, ya tie..

La tan esperada 5.ª temporada de Stranger Things, que marcará el final de la serie, ya tiene fecha confirmada y promete un cierre épico. Netflix anunció que contará con ocho episodios, estrenados en tres partes. Esta última temporada transcurre en el otoño de 1987, con un salto temporal desde los eventos de la temporada 4. Hawkins vive bajo cuarentena militar, Eleven debe ocultarse y la caza de Vecna ..saber más



Las placas tectónicas son gran... Académico

Explorar mas sobre Las placas tectónicas son grandes bloques que forman la superficie de la Tierra y se despl..

Las placas tectónicas son grandes bloques que forman la superficie de la Tierra y se desplazan lentamente sobre el manto. Sus colisiones, separaciones y deslizamientos explican terremotos, volcanes y la formación de cordilleras. Cuando una placa se hunde bajo otra, el material se calienta y puede originar volcanes, que liberan magma, gases y cenizas. La intensidad de las erupciones depende de la composición ..saber más



La gramática es el conjunto de... Académico

Explorar mas sobre La gramática es el conjunto de reglas y normas que rigen el uso del lenguaje. Define cómo ..

La gramática es el conjunto de reglas y normas que rigen el uso del lenguaje. Define cómo se forman, combinan y organizan las palabras para expresar ideas de forma clara y eficaz. La gramática involucra aspectos como la morfología (el estudio de las palabras), la sintaxis (el orden de las palabras en las oraciones), la semántica (el significado de las palabras) y la fonología (los sonidos del idioma). ..saber más



Para elegir la cerveza perfect... Cervezas

Explorar mas sobre Para elegir la cerveza perfecta, prueba diferentes estilos y marcas, ten en cuenta el mari..

Para elegir la cerveza perfecta, prueba diferentes estilos y marcas, ten en cuenta el maridaje y considera los sabores, la acidez y el contenido de alcohol. Por ejemplo, para la pasta, elige Dark Lager, Strong Ale o Pilsner, mientras que para la barbacoa, opta por Pilsner, Stout o Brown Ale. Los mariscos combinan bien con English Pale Ale, Amber Ale, Hefeweizen y Witbier, y para los postres, elija Stout, Porter o Fruit Lambic. Los quesos se pueden combinar con una variedad de cervezas, pero las cervezas oscuras como la porter y la stout generalmente funcionan bien. Si se trata de comida vegetariana, la Pilsner es una buena opción debido a la variedad de ingredientes vegetarianos.
En el blog de Syndicato ..saber más



Los desiertos son formaciones ... Geografía

Explorar mas sobre Los desiertos son formaciones naturales caracterizadas por bajas precipitaciones (generalm..

Los desiertos son formaciones naturales caracterizadas por bajas precipitaciones (generalmente menos de 250 mm/año), gran amplitud térmica y vegetación escasa. Sin embargo, aunque parecen espacios estáticos e inhóspitos, también son resultado de la producción del espacio geográfico, es decir, de la interacción entre la sociedad y la naturaleza.
La producción del espacio en los desiertos incluye ..saber más



El enfrentamiento entre Flamen... Copa Libertadores

Explorar mas sobre El enfrentamiento entre Flamengo y Palmeiras se convirtió en uno de los duelos más destaca..

El enfrentamiento entre Flamengo y Palmeiras se convirtió en uno de los duelos más destacados de la Libertadores en los últimos años. Flamengo aporta su ataque explosivo, un plantel lleno de estrellas y una afición que vive cada decisión como si fuera escrita por el destino. Palmeiras responde con disciplina táctica, consistencia competitiva y la experiencia acumulada en campañas profundas del torneo. La ..saber más

publicity
Betspot.zone is a fun quizzes and games site — not related to gambling or betting.